陶瓷贴片解决牙缝宽大,还他自信笑容
发布时间:2018-01-29 09:05 浏览
牙齿是一个人的门面。很多男孩女孩本来长得很不错,可是每当咧嘴一笑時 , 被一口黃牙或者残缺的牙齿瞬間大毁颜值 ,别人嘴上不说,心里却会暗暗嫌弃。也会影响自己的心情和信心。
患者小刘就是这样一位有着牙齿困扰的年轻人,年纪轻轻的帅小伙,刚来到医院还未开口,就有小护士忍不住花痴:“哇,好帅啊!”可是小刘张开口时,却让他的魅力大打折扣,他的门牙缝太大了,每次开口说话都很不美观,这也是他来到深圳万丰医院口腔科的原因,他想解决自己的这个问题。

贴片前
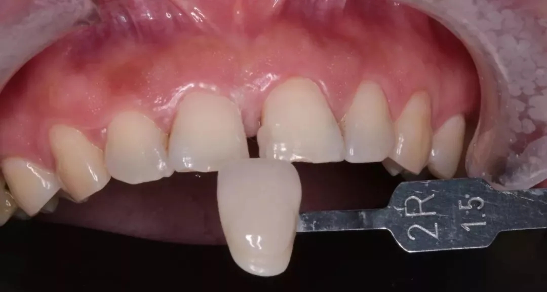
邓炜芳医师根据他的情况,为他量身定制了方案,在前面门牙处贴陶瓷贴片,既可以解决牙齿美观问题,又可以使牙齿损伤降到最低。经过与小刘的详细沟通,小刘决定听从邓医师的建议,采用这一方案。邓医生根据小刘的牙齿,定制了适合的陶瓷贴片,经过细致的手术过程,小刘的门牙变得十分美观,从此再也不用担心开口大笑了。

贴片完成效果
陶瓷贴片,也叫美白贴片,虽然现在很多人知道也有人用过,但是还是有人并不了解它,所以还不敢去用。今天就跟大家分享一下,让大家对牙齿陶瓷贴片有一个了解,这样就可以在了解之后知道自己需不需要。
陶瓷贴片,是陶瓷制成之贴片黏着以装饰牙齿的一种修复方法。是将牙齿表面磨除一薄层后制作一片全瓷的贴片,利用特殊黏剂固定于磨除的牙齿上,快速改善牙齿的外观,几天时间即可完成。
优势介绍
耐磨稳定:陶瓷贴片只需去除少量的牙体组织(0.5~0.75m/m),对牙齿的削磨比金属瓷牙或全瓷牙少,且牙齿陶瓷贴片有很高的耐磨性和颜色稳定性。
功能性佳:大部分情况贴片只限于唇面和切缘,特别是有深咬合的患者舌侧空间很小,不能进行传统牙套的制作。 另外,下颔前牙以陶瓷贴片远较一般牙冠来得美观及维持功能,同时保护牙神经。
美观、外形完美:可改变为心目中理想的颜色及型态。
牙周组织较健康:陶瓷贴片的边缘位于龈上或稍为龈下即可,并用不溶性的黏固剂封闭,使牙龈健康状况比假牙牙冠来得好。
以上就是我为大家介绍的牙齿陶瓷贴片,大家看完之后应该也有了一定的了解。如果大家想要用牙齿陶瓷贴片的话,还是建议大家在用之前去医院咨询一下医生,还有这种牙齿陶瓷贴片是不适合孩子使用的。

